Orthodontics for children · 5–10 years old · Free initial consultation

Orthodontics for children in Valencia

Correct your child's smile on time, without braces and comfortably. Clear aligners that guide tooth growth while little ones play, eat and smile normally.

✓ Guides bone and dental growth in mixed dentition ✓ Removable, comfortable and hygienic aligners ✓ Check-ups every 6–8 weeks and digital follow-up ✓ No braces or extractions in most cases

Dr. Teresa Santoyo has been dedicated exclusively to orthodontics with aligners since 2015. She is an expert in dentofacial orthopedics, pediatric orthodontics, and neuro-occlusal rehabilitation. She is a member of SEDO, EAS, SEDA, SEPA, and SEMDES. She is passionate about guiding the dental development of young children with comfortable treatments and positive experiences.

Book your free appointment
Children smiling with invisible braces in Valencia
Introduction

Everything you need to know about children's orthodontics and early treatment

Dental care for your children with invisible orthodontics in Valencia

Early treatment combines orthodontics and dentofacial orthopedics to guide bone growth and tooth position in developing children.

It is usually performed between the ages of 5 and 10., when baby teeth and permanent teeth coexist (mixed dentition), and allows us to act at the moment when growth is in our favor.

It may include different types of equipment depending on the case:

  • Clear aligners.
  • Removable appliances.
  • Growth expansion or correction devices.

Acting in time allows you to:

  • To guide the bone development of the maxilla and mandible.
  • Fix space problems before they get worse.
  • Reduce the need for extractions in the future.
  • Improve breathing, chewing, and oral function.
  • Avoid more complex treatments in adolescence.

In many cases, it's not just about aligning teeth, but about correct the root of the problem.

The duration varies depending on the case, but interceptive treatments usually last between 6 and 18 months.

In some cases, a first phase is carried out in childhood and a second, simpler phase in adolescence.

It is indicated for children who present with:

  • Crossbite.
  • Narrow palate.
  • Overcrowding or lack of space.
  • Open bite or overbite.
  • Protruding teeth.
  • Mouth breathing.
  • Habits such as thumb sucking or tongue thrusting.

It is also recommended as first phase before a complete treatment in adolescence.

Depending on the case, we can use:

  • Clear aligners: comfortable, discreet and removable.
  • Functional removable appliances: to guide growth.
  • Expansion devices: to widen the palate.
  • Fixed appliances in specific cases.

The choice always depends on the individual diagnosis.

Allows correction:

  • Bone growth disorders.
  • Lack of space for permanent teeth.
  • Bite problems (crossbite, open bite, overbite).
  • Functional deviations.
  • Consequences of oral habits.

The goal is to achieve balanced development and facilitate the correct eruption of permanent teeth.

Not all problems have to wait.

When we treat in time:

  • We can act on growth (not just on teeth)
  • We simplify future treatments
  • We improve key functions such as breathing

Waiting, in some cases, implies treating problems that are already established instead of preventing them.

During the first visit, Dr. Santoyo will perform a complete study with a 3D intraoral scanner and an assessment of the child's facial and functional development.

This allows us decide if it's the right time to start or just keep track.

Why choose us?

What makes us different

Advanced digital technology for precise treatments

We use 3D digital planning, which allows us to design each phase of your child's treatment with maximum precision. This technology helps us anticipate growth, guide tooth eruption, and create custom aligners that perfectly adapt to their development.

More than 20 years of experience in orthodontics and pediatric orthopedics

Dr. Teresa Santoyo has been dedicated exclusively to orthodontics with aligners since 2015. She is an expert in dentofacial orthopedics, guiding maxillary and mandibular growth in childhood. She is a member of SEDO, EAS, SEDA, SEPA, and SEMDES. We work with patience, understanding, and a holistic approach to achieve natural and stable results.

We create positive experiences for the little ones

We know that the first experience with orthodontics makes all the difference. That's why we support your child with care and empathy, explaining everything simply and creating a calm environment where they feel safe. We want them to experience their treatment as a positive experience.

100% treatment customized and adapted to your growth

Every child grows at their own pace. That's why we design a customized treatment plan: we analyze their dental development, age, eruption rate, and specific needs to create a solution perfectly tailored to them.

Advantages

Why choose invisible orthodontics for your daughter/son?

01

It allows combining treatment phases

It allows for the first phase of interceptive orthodontics and, if necessary, continuation with a second phase during adolescence. All within a comprehensive plan designed from the outset.

02

Removable for eating and brushing

The aligners are removed for eating and dental hygiene, making the child's daily life easier and reducing the risk of cavities during treatment.

03

Comfortable and without urgency

No brackets that come loose or wires that bother you. The aligners are soft, don't cause chafing, and allow the child to continue with their activities (sports, music, etc.) without limitations.

04

Virtually invisible

Clear aligners are very discreet, which helps children feel more confident and comfortable during treatment, without feeling self-conscious at school or with their friends.

Indicative prices

Prices of orthodontic treatments for children

The estimate is always provided after a thorough assessment. This allows us to tailor the treatment to your child's specific needs, with no surprises.

Invisible orthodontics for children Interceptive treatments
€2,310 – €3,100
Dentofacial orthopedics in children Correction of bone growth
€1,360 – €2,160

* Financing subject to approval. Fixed price quote from the first visit.

We want to make it easy for you

Financing up to 30 months interest-free
Early payment discount (5%-10%)
Installments from €50 per month
Request a quote
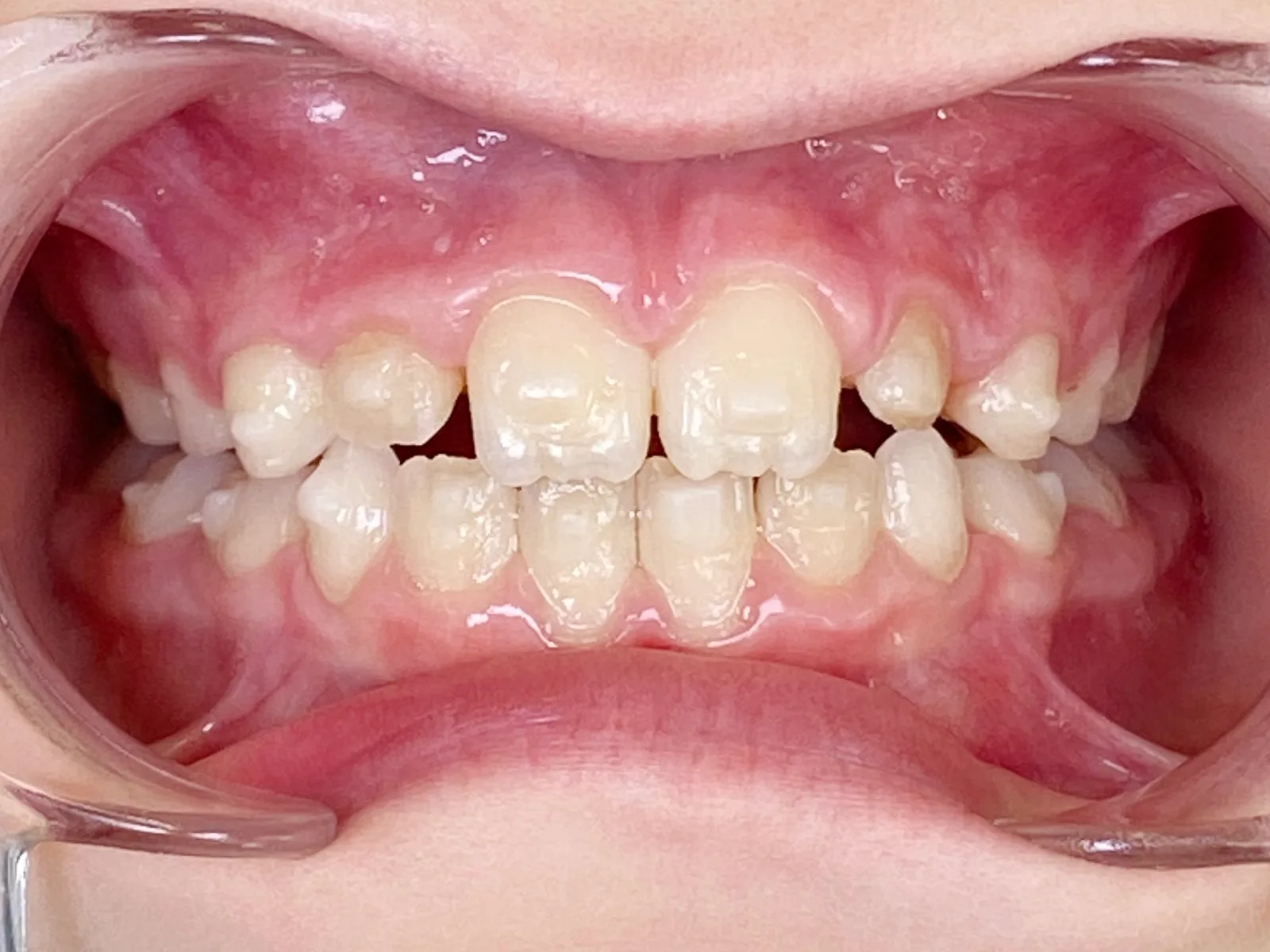
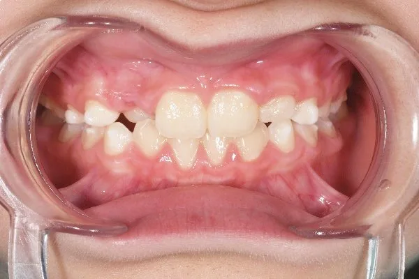
Real cases

Real clinical cases of orthodontics for children

Interdisciplinary treatment in growth: function, development, and alignment

A 7-year-old patient presents for consultation due to bite, speech, and oral development abnormalities. Examination reveals a restrictive lingual frenulum, atypical swallowing, anterior open bite, underdeveloped maxilla, and impaired oral function (tongue, breathing, and swallowing). This functional condition affects not only tooth position but also the overall development of the mouth.

Treatment

An interdisciplinary and sequential treatment approach is used, addressing the root cause of the problem: lingual frenectomy (soft tissue laser), maxillary expansion (palatal expander), transverse development of the upper jaw, creation of space for proper tooth eruption, aligners, organization and alignment of the dental arches, and improvement of aesthetics and function. All of this is accompanied by functional rehabilitation with a speech therapist (essential in these cases). After treatment, improvements in speech, breathing, and swallowing are achieved, along with proper development of the upper jaw and wider, more balanced dental arches. This results in a change not only in the smile but also in long-term function and health.

Orthodontics in mixed dentition with aligners

A child in the mixed dentition phase presents for consultation due to altered tooth position. Examination reveals anterior and posterior crossbite, disorganized eruption of permanent teeth, lack of space, and malocclusion. This is a typical growth situation that, without treatment, can progress to very complex problems.

Treatment

An interceptive orthodontic treatment plan is developed using only aligners: digital study and personalized planning, use of aligners adapted for mixed dentition, progressive expansion of both arches, and guidance of tooth eruption. Without braces, this approach offers comfort and aesthetics for the child. After treatment, patients experience improved dental alignment, creation of space for permanent teeth, more harmonious development of the arches, and improved occlusion. All of this is achieved with excellent patient adaptation.

Our patients

What our patients say about their orthodontic treatment for children at MIDSA (Valencia)

5.0

Based on 180 reviews

R

Rocío F.

Complete rehabilitation with implants

I came to MIDSA after years of suffering from poor oral health and not knowing where to begin. Dr. José María Micó explained everything clearly and designed a customized implant plan. Today, I have regained my smile and my confidence when speaking and eating. Professionalism and compassion at every step.

C

Carlos G.

Extraction + immediate implant

I was terrified of the surgery, but Dr. Micó instilled confidence in me from the very beginning. He extracted a tooth and placed the implant in the same session. It was quick, painless, and the follow-up was impeccable. I would do it again without hesitation.

L

Laura M.

Aesthetic implant in incisor

I lost an incisor due to trauma and was very worried about the outcome. Dr. José María took care of every detail of the implant and crown and achieved a completely natural finish. No one can tell it's not my real tooth.

G

Ghalib K.

Displaced patient

Although I live outside of Valencia, I always return to MIDSA for my major treatments. I've already had two implants done by Dr. Micó, and I wouldn't trade him for anyone: precise, meticulous, and very compassionate. The recovery was very easy.

V

Veronica D.

Wisdom tooth surgery

Dr. Micó extracted two very difficult wisdom teeth for me, and everything went perfectly. He explained the procedure step by step, and his friendly approach put me at ease. I highly recommend him.

E

Esteban R.

Implants with conscious sedation

I was terrified of the dentist and needed several implants. We did the treatment with conscious sedation, and it was the best decision: I didn't feel a thing and woke up with my new smile. It was a game-changer for me.

We'll answer your questions

Frequently Asked Questions about Orthodontics for Children at MIDSA

It is designed for children from 5-6 years old, when they begin to have mixed dentition (baby and permanent teeth). Dr. Santoyo will assess the ideal time to begin treatment based on each child's development.

Yes, it's clinically proven to treat the same problems as traditional braces in children: crossbite, narrow palate, crowding, and lack of space. The difference is that it does so in a more comfortable, hygienic, and discreet way.

The aligners must be worn for 20 to 22 hours a day for the treatment to progress correctly. They should only be removed for eating, drinking (except water), and brushing your teeth.

No. The aligners must be removed for eating and drinking anything other than water. Afterward, the child should brush their teeth before putting them back in.

You may experience slight difficulty speaking during the first few days, but you'll adapt very quickly. In just a few days, you'll be speaking normally.

They are cleaned with warm water and a soft brush. There are also specific effervescent tablets for cleaning them. It is important that the child brushes their teeth before putting the aligners back in.

It depends on the case. Some children complete their treatment and don't need further intervention. Others may need a second phase during adolescence to perfect the alignment with their full permanent teeth. Dr. Santoyo will keep you informed from the beginning.

The price depends on the complexity of the case. At MIDSA, invisible orthodontic treatments for children range from €2,310 to €3,100. We provide a fixed price quote after the initial free consultation, with financing options available.

Contact

Take care of her smile from the beginning

At MIDSA, we take care of your child's dental development on time, without braces and without affecting their self-esteem. We support you with personalized attention and experience. Their smile matters to us, and we're here to care for it with you.

Privacy Overview

This website uses cookies so that we can provide you with the best user experience possible. Cookie information is stored in your browser and performs functions such as recognising you when you return to our website and helping our team to understand which sections of the website you find most interesting and useful.