Dental implants in one day

Immediate loading implants in one day in Valencia

Say goodbye to waiting. Get your smile back in just one day. Minimally invasive surgery, advanced digital technology, and completely natural results.

Our specialist, Dr. José María Micó, has over 20 years of experience dedicated exclusively to implantology and dental rehabilitation. He is a member of SECIB and SEPA. He believes in prevention, personalized care, and helping you regain your best smile with a comprehensive approach and lasting results.

Book your free appointment
Woman with immediate load dental implants smiling in Valencia
Introduction

Everything you need to know about immediate load implants

Immediate load implants for a smiling man in Valencia

Immediate load implants allow you to regain your full smile in just one day. Unlike traditional implants, which require months of waiting, with this technique we place your new fixed teeth in less than 24 hours. In a single procedure, we insert the titanium implants and, on the same day, attach a temporary prosthesis. You can smile and chew normally from the very first moment.

Ideal if you've lost one or more teeth, wear dentures, need a full mouth rehabilitation, or simply value your appearance and can't afford to be without teeth for extended periods. During your first visit, we'll personally assess your case to determine if this is the best option for you.

Traditional implants: require a 3-6 month waiting period; with immediate loading, you leave with fixed teeth the same day. Removable dentures: move and limit chewing; implants are fixed and restore full function. Bridges: require grinding down healthy teeth; implants are independent.

You regain your confidence, full chewing function, quality of life without uncomfortable dentures, a natural appearance and time: a definitive solution in 24 hours.

Why choose us?

Your trust is our priority

Advanced technology for greater safety and precision

We use 3D digital planning and computer-guided surgery to study your case in great detail before the procedure. This technology allows us to anticipate results, minimize risks, and make the entire process more predictable and safe for you.

More than 25 years of experience in implantology

Dr. José María Micó has over two decades of experience dedicated exclusively to surgery and implantology. We work calmly, with scientific rigor and meticulous precision, to offer you natural and long-lasting results.

We'll be with you every step of the way.

From your first consultation to your final check-up, you'll be supported. We'll explain each phase clearly and at your own pace, answer all your questions, and ensure you feel safe and informed every step of the way.

Customized 100% treatment

No two cases are alike. That's why we analyze your clinical situation, your overall health, and your expectations to design an implant plan perfectly tailored to you. Your smile, your solution.

Advantages

Why choose immediate loading implants?

01

Get your smile back in less than 24 hours

You'll be able to smile, chew, and speak normally again from day one. There's no need to wait months for results: you'll leave the clinic with your fixed teeth and your life back.

02

Improve your confidence and quality of life

Getting your smile back has a direct impact on your self-esteem. You'll feel more confident in your personal and professional relationships, without insecurities or limitations.

03

minimally invasive technique

Precise and controlled surgery that reduces postoperative discomfort, shortens recovery time, and minimizes clinic visits. Less medication, less discomfort.

04

Forget about removable dentures

Say goodbye to dentures that move, rub, or prevent you from eating comfortably. From the very first moment, you'll have fixed, comfortable, and secure dentures.

Indicative prices

Prices of dental implants

The estimate is always provided after a thorough assessment. This allows us to tailor the treatment to your specific needs, without any surprises.

Dental implant with crown
€1,240 – €1,440
Immediate full arch loading
€4,990 – €5,890

* Financing subject to approval. Fixed price quote from the first visit.

We want to make it easy for you

Financing up to 30 months interest-free
Early payment discount (5%-10%)
Installments from €50 per month
Request a quote
REAL CASES

Clinical cases

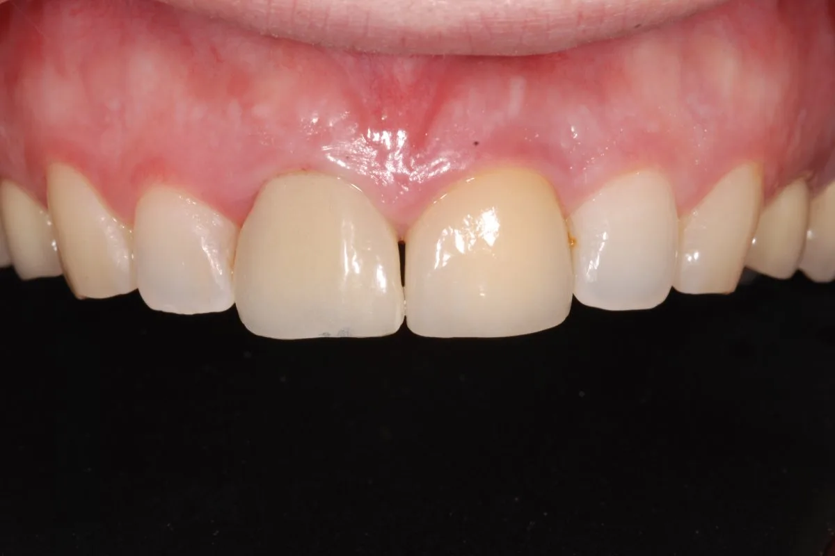
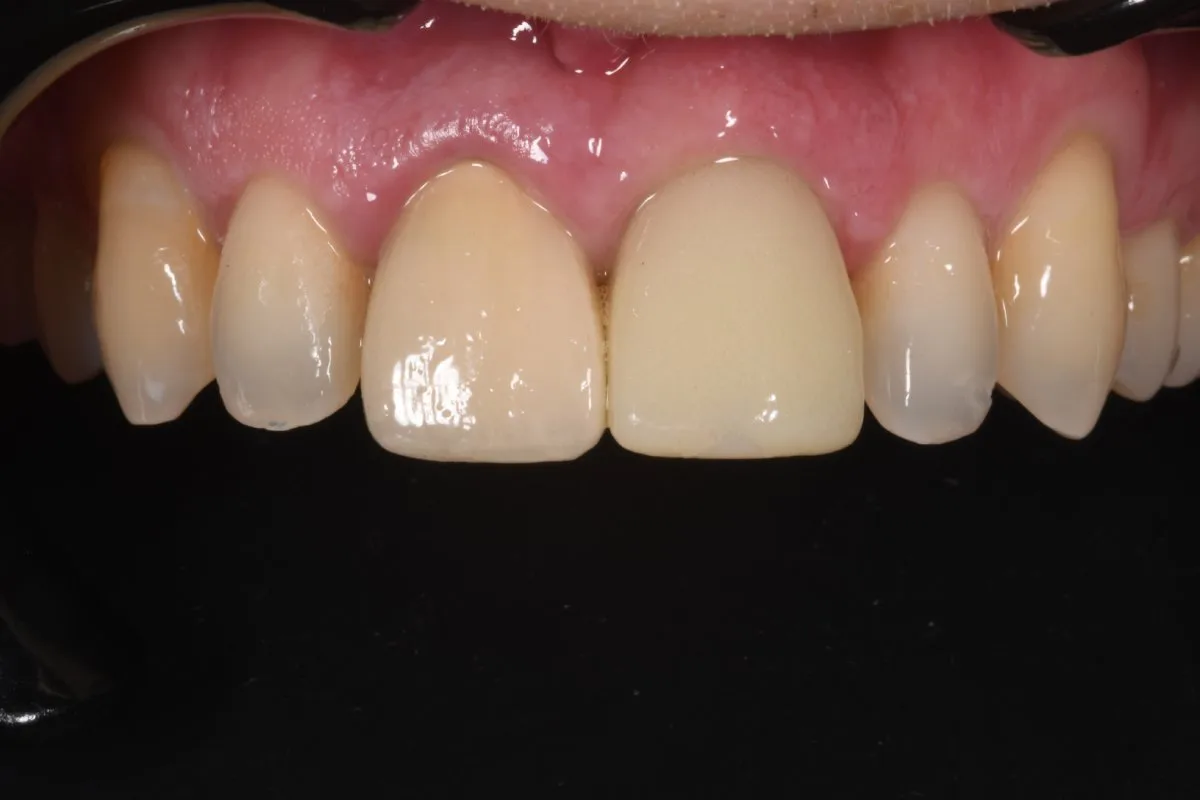
Central incisor rehabilitation: when an old treatment fails

A young patient presents with discomfort and aesthetic concerns regarding an upper central incisor. Examination and diagnostic tests reveal reinfection of a previous treatment (old root canal), tooth discoloration, structural compromise of the incisor, and a direct impact on the aesthetics of her smile. A localized problem… but with a significant impact on the patient's self-confidence.

Treatment

A conservative and aesthetic treatment plan is proposed: elimination of the infection through tooth extraction and cleaning of the area; aesthetic restoration of the central incisor with an immediate implant and ceramic crown, integrating the color and shape with the rest of the smile. The goal: to restore health without compromising aesthetics. Result after treatment: complete elimination of the infection, restoration of tooth function, aesthetic improvement of the incisor, and a natural, harmonious smile. Because in the anterior region… every detail matters

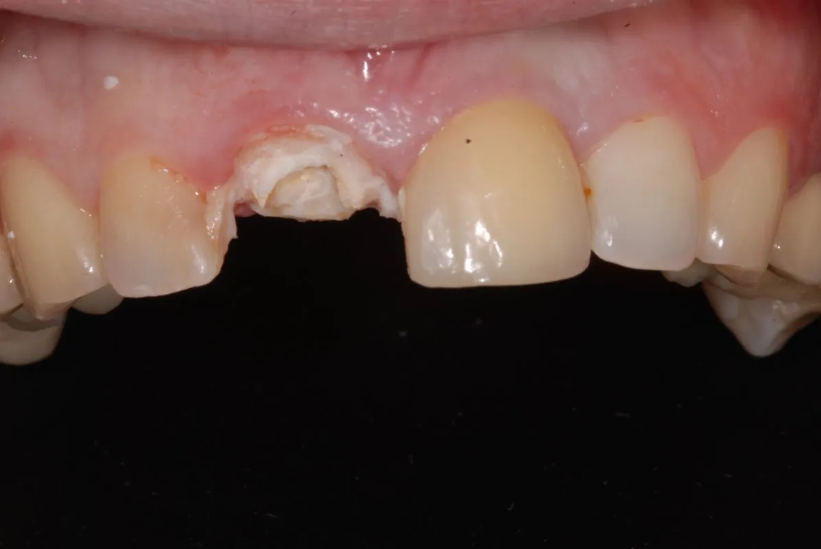
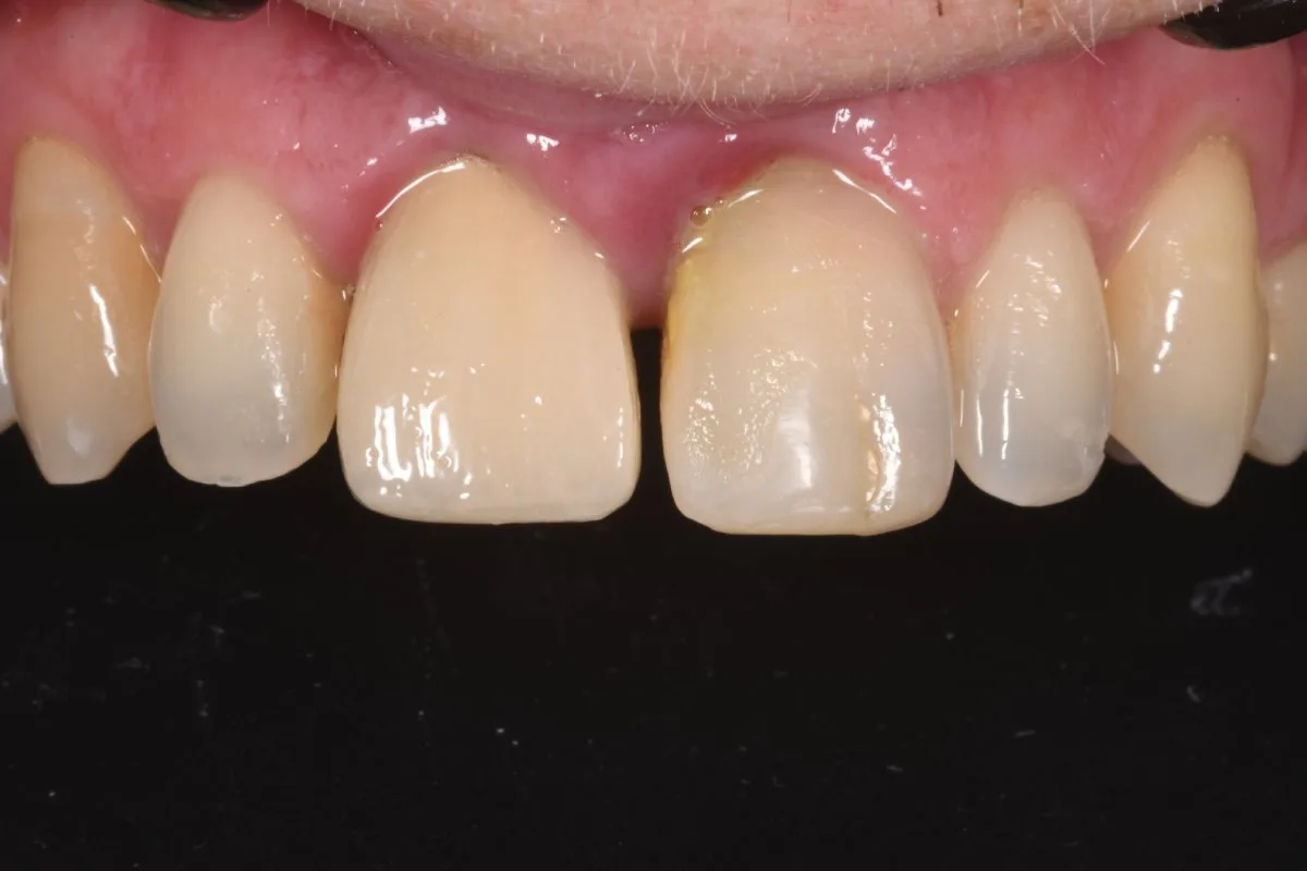
Immediate implant in central incisor: regain your smile in one day

A female patient presents to the clinic following an accident involving a previously treated tooth. Examination reveals a severe fracture of the central incisor, a tooth that has undergone root canal treatment, with irreversible structural damage and significant aesthetic impact (the most visible area of the smile). This is an urgent situation, both functionally and emotionally.

Treatment

Immediate post-extraction implant treatment is proposed, performed in the same clinical appointment: careful extraction of the non-viable tooth, immediate placement of the implant, fixed provisional crown on the same day, and an aesthetic design adapted to the rest of the smile. No tooth-free phases. No aesthetic impact during the process. Result after treatment: immediate restoration of aesthetics, natural integration with adjacent teeth, restored function from day one, and high patient satisfaction. Because there are times when the solution can't wait.

Our patients

What our patients say about their implants at MIDSA

5.0

Based on 180 reviews

R

Rocío F.

Complete rehabilitation with implants

I came to MIDSA after years of suffering from poor oral health and not knowing where to begin. Dr. José María Micó explained everything clearly and designed a customized implant plan. Today, I have regained my smile and my confidence when speaking and eating. Professionalism and compassion at every step.

C

Carlos G.

Extraction + immediate implant

I was terrified of the surgery, but Dr. Micó instilled confidence in me from the very beginning. He extracted a tooth and placed the implant in the same session. It was quick, painless, and the follow-up was impeccable. I would do it again without hesitation.

L

Laura M.

Aesthetic implant in incisor

I lost an incisor due to trauma and was very worried about the outcome. Dr. José María took care of every detail of the implant and crown and achieved a completely natural finish. No one can tell it's not my real tooth.

G

Ghalib K.

Displaced patient

Although I live outside of Valencia, I always return to MIDSA for my major treatments. I've already had two implants done by Dr. Micó, and I wouldn't trade him for anyone: precise, meticulous, and very compassionate. The recovery was very easy.

V

Veronica D.

Wisdom tooth surgery

Dr. Micó extracted two very difficult wisdom teeth for me, and everything went perfectly. He explained the procedure step by step, and his friendly approach put me at ease. I highly recommend him.

E

Esteban R.

Implants with conscious sedation

I was terrified of the dentist and needed several implants. We did the treatment with conscious sedation, and it was the best decision: I didn't feel a thing and woke up with my new smile. It was a game-changer for me.

We'll answer your questions

Frequently Asked Questions about Immediate Load Implants at MIDSA

Advantages: You regain your appearance immediately, reduce the number of surgeries, and experience greater comfort from day one. Disadvantages: Not all patients are candidates. You need good bone density and to follow a very precise protocol to guarantee the success of the treatment.

The price varies depending on each case: the number of implants needed, the type of prosthesis, and any additional treatments. At MIDSA, we offer a free initial consultation and interest-free financing options to make treatment more accessible.

If you have low bone density, techniques such as bone grafts or zygomatic implants are available. However, immediate loading may not be feasible without adequate bone. We assess your case individually to offer you the best solution.

They are not recommended if you have insufficient bone to stabilize the implant, unhealthy gums or teeth around the area to be treated, excessive tobacco and/or alcohol consumption, or medical conditions that compromise healing.

No. The procedure is performed under local anesthesia. You may feel us working in the area or some vibration, but you will not feel any pain.

Legally in Spain, all dentists can place implants, but ideally, this should be done by a highly qualified and experienced professional. At MIDSA, Dr. José María Micó has dedicated over 25 years exclusively to dental surgery and implantology.

Contact

Get your smile back in just one day

At MIDSA, we know that immediate load implants are more than just a dental treatment. They're about regaining your confidence, your peace of mind, and the freedom to smile, speak, and eat without fear from the very first moment.

Privacy Overview

This website uses cookies so that we can provide you with the best user experience possible. Cookie information is stored in your browser and performs functions such as recognising you when you return to our website and helping our team to understand which sections of the website you find most interesting and useful.