Correct your smile without anyone noticing. Custom-made clear aligners: invisible, comfortable and with predictable results from day one.
Dr. Teresa Santoyo has over 20 years of experience in orthodontics for children and adults. An expert in invisible orthodontics with aligners, she is a member of SEDO, EAS, SEDA, SEPA, and SEMDES. She is passionate about designing smiles with treatments tailored to your lifestyle.
Book your free appointment

Invisible orthodontics is an advanced system that corrects the position of teeth using clear aligners, custom-designed for each patient. These aligners are virtually invisible, comfortable, and removable, allowing you to undergo treatment discreetly and without disrupting your daily life.
Each aligner applies gentle, controlled forces that gradually and precisely move the teeth. Throughout the treatment, they are replaced with new phases (usually every 1-2 weeks), following a fully personalized plan to achieve the desired final position.
Thanks to the use of digital technology and 3D scanning, we can plan your treatment with great accuracy and show you a simulation of what your smile will look like before we begin.
Invisible orthodontics is an excellent option if:
Personalized assessment: During your first visit, Dr. Santoyo will perform a complete study with a 3D intraoral scanner to analyze your case in detail and confirm if this type of treatment is the most suitable for you.
Vs. Metal Braces: Braces are visible, can cause chafing, restrict your diet, and make oral hygiene difficult. Invisalign is virtually invisible, removable, comfortable, and allows you to brush your teeth normally.
Vs. Aesthetic (ceramic) brackets: Although more discreet than metal braces, they are still fixed and can stain. Invisalign is completely transparent and you remove it to eat and clean your mouth.
vs. Lingual orthodontics: Lingual braces are placed behind the teeth, but they can affect speech and cause tongue discomfort. Invisalign is more comfortable and doesn't interfere with your daily life.
Invisalign can solve:
Result: You regain a harmonious, functional and aesthetically perfect smile, improving both your dental health and your confidence.
Which one do you identify with?






We use the iTero intraoral scanner to create an accurate 3D model of your mouth. With this technology, we plan every tooth movement and show you a simulation of your final smile before we begin. You'll see your results from day one.
Dr. Teresa Santoyo has over two decades of experience specializing in orthodontics for children and adults. She is an active member of SEDO, EAS, SEDA, SEPA, and SEMDES. We work with precision, patience, and a holistic approach to achieve natural and stable results.
From your first consultation until the day you remove your last aligner, you'll be supported. We'll explain each phase clearly, answer all your questions, and adjust the treatment if necessary to ensure your comfort and success.
Every smile is unique. That's why we design your treatment plan to your specifications: we analyze your case, your aesthetic expectations, and your lifestyle to create an Invisalign solution perfectly tailored to you.
Remove your aligners to brush and floss as usual. You can also take them out to eat, drink, play sports, or play a musical instrument. Maximum freedom without compromising your treatment.
If you lose or damage an aligner, don't worry. The treatment includes replacement parts so your progress won't be affected. Your smile will continue to progress without interruption.
Invisalign uses SmartTrack, a unique thermoplastic material designed for more predictable and controlled tooth movement. More comfortable, more precise, and more effective than other aligner systems.
Forget about loose brackets or broken wires. No metal in your mouth, no emergency visits. Aligners are comfortable, safe, and your treatment progresses smoothly.
At MIDSA we offer you a fixed price from day one and flexible financing options to make your smile accessible.
* Financing subject to approval. Fixed price quote from the first visit.
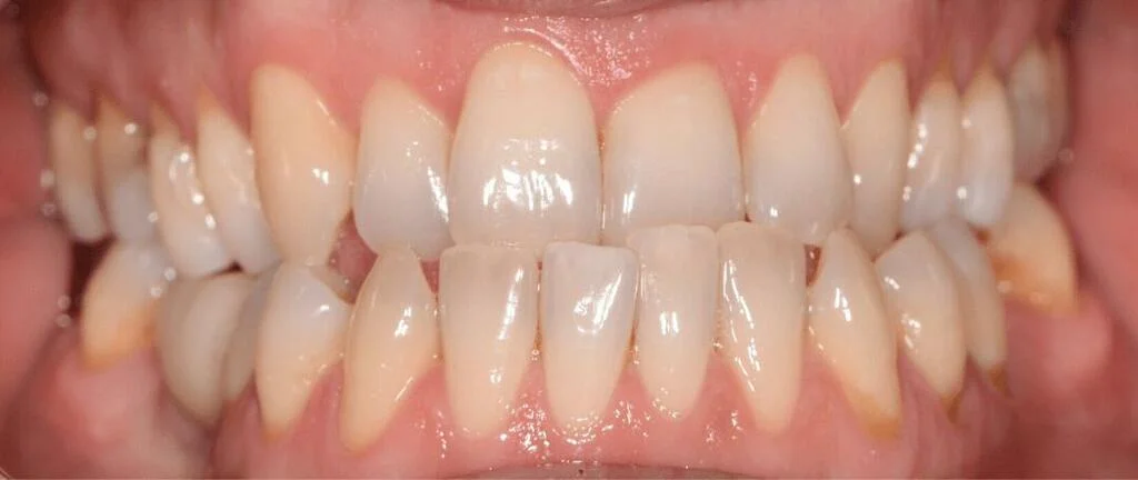
A 45-year-old male patient presented with frequent headaches and difficulty chewing. Examination revealed malocclusion with incoordination between the dental arches, asymmetrical tooth wear, especially in the anterior region, and a functional bite problem. This situation affected not only his appearance but also his quality of life.
Invisible orthodontic treatment was planned using aligners, with a functional and occlusal approach: a complete study with an iTero intraoral scanner, digital occlusion planning, and customized aligners with movement control and progressive bite adjustment. As a result, we observed a significant improvement in occlusion and chewing function, balanced dental alignment, reduced tooth wear in the medium and long term, and greater bite stability. The patient also experienced a decrease in headaches and an improvement in their quality of life.
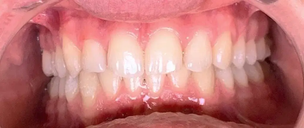
An adult patient presented with palatal pain, frequent headaches, and signs of bruxism. Examination revealed a severe overbite, traumatic contact of the upper incisors with the palatal gingiva, significant wear on the lower teeth, and functional overload of the bite. The patient reported constant discomfort while chewing and progressive dental deterioration.
Invisible orthodontic treatment was planned with a functional approach to correct the overbite and reprogram the occlusion: a complete digital study with an iTero intraoral scanner, 3D bite planning, and aligners designed for bite opening and progressive control of dental contacts. As a result, we achieved correction of the overbite and elimination of trauma to the palatal gingiva, improved arch relationship, reduced tooth wear, and greater comfort while chewing. Most importantly, palatal pain disappeared, and symptoms associated with bruxism improved.
Based on 180 reviews
Complete rehabilitation with implants
I came to MIDSA after years of suffering from poor oral health and not knowing where to begin. Dr. José María Micó explained everything clearly and designed a customized implant plan. Today, I have regained my smile and my confidence when speaking and eating. Professionalism and compassion at every step.
Extraction + immediate implant
I was terrified of the surgery, but Dr. Micó instilled confidence in me from the very beginning. He extracted a tooth and placed the implant in the same session. It was quick, painless, and the follow-up was impeccable. I would do it again without hesitation.
Aesthetic implant in incisor
I lost an incisor due to trauma and was very worried about the outcome. Dr. José María took care of every detail of the implant and crown and achieved a completely natural finish. No one can tell it's not my real tooth.
Displaced patient
Although I live outside of Valencia, I always return to MIDSA for my major treatments. I've already had two implants done by Dr. Micó, and I wouldn't trade him for anyone: precise, meticulous, and very compassionate. The recovery was very easy.
Wisdom tooth surgery
Dr. Micó extracted two very difficult wisdom teeth for me, and everything went perfectly. He explained the procedure step by step, and his friendly approach put me at ease. I highly recommend him.
Implants with conscious sedation
I was terrified of the dentist and needed several implants. We did the treatment with conscious sedation, and it was the best decision: I didn't feel a thing and woke up with my new smile. It was a game-changer for me.
Invisalign begins with a consultation with Dr. Santoyo, who creates a personalized treatment plan that illustrates the step-by-step transformation of your smile. Once approved, a unique set of aligners is created just for you. You wear each set for one week, 20 to 22 hours a day. Your teeth gradually move into your new smile.
The duration varies depending on the complexity of each case, but treatment generally lasts between 12 and 18 months. During your first visit, we will provide you with a precise estimate based on your specific needs.
You may start to notice improvements in as little as 4 weeks, although in most cases it takes between 4 and 6 months to see visible changes, depending on the degree of crowding.
Your quote will clearly show whether Vivera retainers are included and their price. We've discussed everything clearly from day one.
Most patients experience slight discomfort at the start of each new set of aligners, as the teeth are moving. This sensation usually lasts only a few days and is a sign that the aligners are working.
Yes, provided you follow the instructions and wear a nighttime retainer after completing the treatment. Retention is essential for maintaining long-term results.
Yes, they're made of a transparent material and are almost invisible when you wear them. A discreet option for straightening your teeth without anyone noticing.
It is not recommended to eat or drink anything except water while wearing the aligners, as they may become stained or damaged. Remove them before eating or drinking, brush your teeth, and then put them back in.
People who are very close may notice them, but the aligners are virtually invisible and it's unlikely that people will notice them in your day-to-day life.
After completing treatment, you must wear a retainer at night to maintain the alignment. Retention with finishing aligners is essential after any orthodontic treatment.
At MIDSA, invisible orthodontics for adults means regaining your confidence to smile without self-consciousness. We'll guide you with personalized attention and expert care every step of the way. Your smile matters to us, and we're here to care for it with you.